Waspada Penyakit Periodontal
Waspada Penyakit Periodontal
Penulis: drg. Annisa Pranuditha Erliani, Sp. Perio
Penyakit periodontal merupakan kondisi peradangan kronis mengenai jaringan pendukung gigi yang meliputi gingiva, ligamentum periodontal, sementum, dan tulang alveolar (Gambar 1).
Gambar 1. Jaringan penyangga gigi

Apa Penyebab Utama Penyakit Periodontal?
Penyakit ini terutama disebabkan oleh akumulasi plak bakteri yang memicu respons imun tubuh sehingga menyebabkan kerusakan (destruksi) jaringan periodontal secara progresif dan ireversibel jika tidak ditangani secara tepat (1).
Faktor-faktor yang mempengaruhi proses ini bersifat multifaktorial, seperti (1,3):
1. Kalkulus
2. Kebersihan mulut yang buruk
3. Diabetes melitus
4. Kebiasaan merokok
Mengenal Jenis Penyakit Periodontal
Secara klinis, penyakit periodontal dibagi menjadi dua jenis utama :
1. Gingivitis (Gambar 2) Gingivitis merupakan inflamasi terbatas pada jaringan gingiva tanpa kehilangan perlekatan klinis, sedangkan periodontitis ditandai oleh kehilangan perlekatan jaringan, pembentukan poket periodontal, dan resorpsi tulang alveolar1,4,5,6.
2. Periodontitis (Gambar 3). Periodontitis bersifat kronis dan progresif, serta dapat menyebabkan mobilitas hingga kehilangan gigi jika tidak mendapatkan perawatan yang berkelanjutan (1,4,5,6)

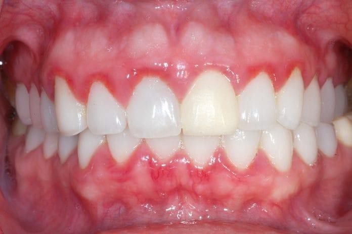
Gambar 2. Gingivitis (Peradangan pada gusi)4

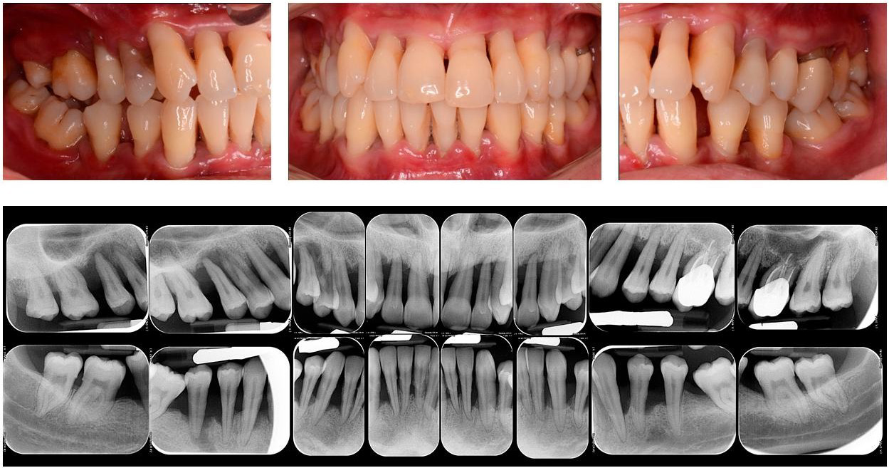
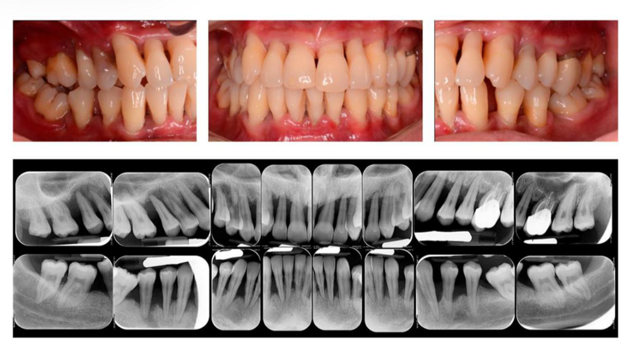
Gambar 3. Periodontitis (Peradangan pada jaringan penyangga gigi)5
Tahapan Perawatan di Klinik Periodontal
Perawatan penyakit periodontal menekankan pendekatan yang komprehensif, sistematis, dan berbasis evaluasi klinis berkelanjutan.
1. Fase 1 (terapi non-bedah): Bertujuan menghilangkan faktor penyebab utama melalui kontrol plak, edukasi kebersihan mulut, scaling dan root planing, serta manajemen faktor predisposisi lokal maupun sistemik.1
2. Fase bedah periodontal: Dilakukan apabila respon jaringan tidak optimal. Tujuannya untuk mengoreksi defek jaringan, mengurangi kedalaman poket, dan menciptakan morfologi jaringan yang lebih kondusif bagi kebersihan mulut pasien, termasuk prosedur regeneratif bila diindikasikan.1
3. Fase restoratif: Dilakukan untuk memperbaiki fungsi dan oklusi yang dapat memengaruhi kesehatan periodontal.1
4. Fase pemeliharaan (supportive periodontal therapy/SPT): Seluruh rangkaian terapi diakhiri dengan fase ini. Fase pemeliharaan berfokus pada monitoring berkala, evaluasi status periodontal, dan pencegahan kekambuhan melalui follow-up terstruktur, yang merupakan kunci utama dalam mempertahankan hasil perawatan jangka panjang dan mencegah progresivitas penyakit periodontal.1
Tips Menjaga Kesehatan Periodontal di Rumah (mandiri)
Keberhasilan perawatan periodontal sangat ditentukan oleh peran aktif pasien dalam menjaga kesehatan gusi di rumah. Pemeliharaan mandiri ini merupakan bagian dari perawatan suportif.1
Beberapa tips menjaga kesehatan gusi di rumah meliputi:
- Menyikat gigi minimal dua kali sehari menggunakan sikat gigi berbulu lembut dengan teknik yang benar. 1
- Membersihkan sela gigi setiap hari menggunakan benang gigi (dental floss) atau sikat interdental, serta menggunakan obat kumur antiseptik bila direkomendasikan oleh dokter gigi. 1
- Membatasi konsumsi makanan manis dan lengket.1
- Memperbanyak asupan makanan berserat seperti buah dan sayuran.1
- Menghindari kebiasaan merokok.1
- Menjaga kontrol penyakit sistemik (misalnya diabetes) agar tetap stabil.1
Kepatuhan terhadap kebiasaan ini terbukti berperan penting dalam mencegah inflamasi ulang dan memperpanjang keberhasilan terapi periodontal jangka panjang.1
Layanan WA Reminder RSD Gunung Jati
Sebagai bentuk penguatan sistem tindak lanjut yang terstruktur, RSD Gunung Jati Kota Cirebon telah mengimplementasikan layanan WA Reminder bagi pasien periodontal. Layanan ini bertujuan untuk :
- Mengingatkan jadwal kontrol secara tepat waktu.
- Meningkatkan kepatuhan pasien terhadap kunjungan lanjutan
- Memastikan kontinuitas perawatan
- Meminimalkan risiko terjadinya kekambuhan dan progresivitas penyakit periodontal.
Melalui sistem pengingat berbasis WhatsApp ini, diharapkan tercapai peningkatan keteraturan kunjungan, optimalisasi hasil terapi, serta penguatan hubungan komunikasi antara pasien dan fasilitas pelayanan kesehatan dalam mendukung keberhasilan perawatan periodontal jangka Panjang (Gambar 4).


Gambar 4. Layanan WA Reminder
Ingin Tahu Lebih Jauh?
Tonton video edukasi kami bersama drg. Andrianto, Sp. Perio di kanal YouTube RSD Gunung Jati Kota Cirebon dengan judul: "KAWAN SEHAT PODCAST EPS 06: MENGENAL PERIODONTITIS (PENYEBAB, FAKTOR RISIKO DAN PENANGANANNYA)"
Link : https://youtu.be/bBvKGgqP0Wk?si=z72Limzy2xkGoreN
Daftar Pustaka
- Carranza FA, Newman MG, Takei HH, Klokkevold PR. Carranza’s Clinical Periodontology. 11th ed. St. Louis: Elsevier Saunders; 2012.
- Newman MG, Takei HH, Klokkevold PR, Carranza FA. Carranza’s Clinical Periodontology. 13th ed. Philadelphia: Elsevier; 2019.
- Lang NP, Lindhe J. Clinical Periodontology and Implant Dentistry. 6th ed. Oxford: Wiley-Blackwell; 2015.
- RDH. Clinical Trial Shines Spotlight on Dental Hygiene and Desquamative Gingivitis, 2025
- Isola, G.; Polizzi, A. Santonocito, S. Dalessandri, D. Migliorati, M. Indelicato, F. New Frontiers on Adjuvants Drug Strategies and Treatments in Periodontitis. Sci. Pharm. 2021, 89, 46.
- Tonetti MS, Greenwell H, Kornman KS. Staging and grading of periodontitis: Framework and proposal of a new classification and case definition. Journal of Periodontology. 2018;89(Suppl 1):S159–S172.